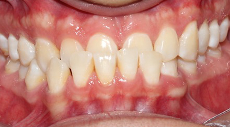
Tratamiento que va encaminado a devolver una correcta función masticatoria pues en ocasiones los dientes están derechos pero la mandíbula y maxilar no encajan correctamente; ayuda a mejorar la estética y funcionalidad por la mala alineación o apiñamiento de los dientes mediante la ayuda de brackets.

Hoy en día existen 3 tipos de técnicas para utiliza por para resolver tu problema:

Brackets metálicos tradicionales

Son brackets de metal de alta calidad que han sido durante mucho tiempo el sistema de ortodoncia mas utilizado.
Ventajas: Al utilizar ligas de colores personalizas tu tratamiento.
Costo son mas económicos en comparación con el sistema estético o de autoligado; aunque estos aumentan el tiempo de tratamiento.

Brackets autoligado

Este sistema es mucho mas efectivo que el tradicional pues al no usar elásticos permite que los movimientos de los dientes sean mas rápidos, constantes y con mayor precisión. A diferencia de los que utilizan ligadura estos brackets cuenta con una compuerta que atrapa el arco.
Ventajas: El tiempo total del tratamiento se reduce considerablemente. Citas más espaciadas por ende menos visitas. Revisiones mas rápidas.

Brackts esteticos

Excelente alternativa para los pacientes que cuidan su imagen y no desean que se les vea los brackets. Existen en ambos sistemas tradicional y autoligado, proporcionando los mismos beneficios antes mencionados, la única diferencia es la necesitad de llevar un tratamiento mas discreto.
Están elaborados con materiales resistentes y requieren un mayor cuidado y el costo es un poco mas elevado a los anteriores.

Existen brackets metálicos y estéticos de varios materiales: cristal, resina, zafiro, etc. En ambos tipos hay tradicionales y de autoligado.

Según el sistema que se elija, en un promedio para un sistema de Brackets tradicional es de 2 años y medio y con un sistema de autoligado es de año y medio.

El primer paso antes de iniciar un tratamiento es la valoración de un experto para ver que no necesites un tratamiento dental previo antes de iniciar, así como el diagnóstico mediante un estudio radiográfico, que incluso puede ser una tomografía.

La edad ideal no existe pues todo paciente que tenga dentadura permanente y padezca una maloclusión dental es candidato a iniciar un tratamiento.

El precio depende del sistema de ortodoncia que necesites. No dudes en agendar una cita de valoración, con gusto te damos el presupuesto y plan de tratamiento.

¿List@ para iniciar?

Contáctanos para agendar tu cita de valoración sin costo.

Agendar cita WhatsApp